Estudio Clínico e Histopatológico de quiste dentígero asociado a diente lateral maxilar: Reporte de caso

 

Clinical and Histopathological Study of Dentigerous Cyst Associated to Maxilar Lateral Tooth: Case Report

 

Lida Velazque Rojas DDS, MSc¹; Carlos Alonso Claudio DDS, MSc, PhD²; Gina Velazque Rojas MD³

 

1. Especialista en Radiología Bucal y Máxilo facial, Universidad de São Paulo Baurú-Brasil. Especialista en Endodoncia, CPO UNINGA, Baurú-Brasil. Máster en Ciencias Odontológicas Aplicadas, Universidad de São Paulo, Baurú-Brasil. Docente de la Universidad de San Antonio Abad del Cusco, Perú.

2. Doctor en ciencias: Salud pública, Universidad Nacional de San Agustín de Arequipa, Perú. Docente de la universidad de San Antonio Abad del Cusco, Perú.

3. Médico Cirujano. Docente de la Universidad del Altiplano, Puno, Perú.

 

Autor para correspondencia: Dra. Lida Velazque Rojas - lidacionn@hotmail.com / lelitavelazque@usp.br

Recibido: 28-I-2017 Aceptado: 21-II-2017 Publicado Online First: 24-II-2017

DOI: http://dx.doi.org/10.15517/ijds.v0i0.28051

 

RESUMEN

 

El quiste dentígero es uno de los quistes Odontogénicos más comunes que envuelven los maxilares, se asocian generalmente a la corona de una tercera molar o canino no erupcionado siendo en la mayoría lesiones unilaterales. La impactación del incisivo lateral permanente maxilar asociado a quiste dentígero es una entidad rara y más aún si involucra a coronas dentarias continuas. Generalmente afectan entre la segunda y tercera década de vida, su aparición en la primera década aún es rara, representando sólo el 9,1% de casos entre los 6 y 7 años. El propósito de este artículo es describir la presencia de dientes impactados asociados con un gran quiste dentígero en el maxilar derecho de un niño de ocho años de edad con enfoque clínico e histopatológico. La exhaustiva evaluación de la historia clínica basado en los hallazgos clínicos, radiográficos e histopatológicos ayudan a los especialistas a diagnosticar correctamente, e identificar los factores etiológicos que conllevan a administrar un tratamiento adecuado.

 

PALABRAS CLAVES

 

Quiste dentígero; Quiste folicular; Quiste odontogénico.

 

ABSTRACT

 

The dentigerous cyst is one of the most common Odontogenic cysts involving the jaws, usually associated with the crown of a third molar or unerupted canine being in most unilateral lesions. The impaction of the incisor lateral maxillary permanent associated with dentigerous cyst is a rare entity and even more if it involves continuous dental crowns. Generally, affect between the second and third decade of life, its appearance in the first decade is still rare, representing only 9.1% of cases between 6 and 7 years. The purpose of this article is to describe the presence of impacted teeth associated with a large dentigerous cyst in the right jaw of an eight-year-old child with clinical and histopathological approach. Thorough evaluation of clinical history based on clinical, radiographic, and histopathological findings helps specialists to correctly diagnose and identify the etiological factors that lead to appropriate treatment.

 

KEYWORDS

 

Dentigerous cyst; Follicular cyst; Odontogenic cyst.

 

INTRODUCCIÓN

 

El quiste dentígero (QD) también denominado quiste folicular es uno de los quistes Odontogénicos más comunes de origen epitelial, después de los quistes radiculares, representando el 20 a 24% de todos los quistes epiteliales de los maxilares (1, 2, 3). Se forma entre el epitelio del esmalte y el esmalte de la corona de un diente en proceso de erupción, no erupcionado o incluído, con acumulación de líquido en esta zona (4, 5 -12). En ocasiones puede estar asociado a odontomas o supernumerarios representando un 5% de todos los quistes dentígeros (13, 14, 15). Su localización más frecuente es en región mandibular de terceras molares, seguidos de canino maxilar y segundo premolar maxilar (1-7). La edad promedio de aparición es entre la segunda y tercera década de la vida (1, 19). Su aparición en la primera década es rara, representando sólo el 9,1% de casos presentes entre los 6 y 7 años (16, 17, 18).

 

Clínicamente se descubre ausencia de una o varias piezas dentales con probable inflamación indurada que en ocasiones puede llevar a una asimetría facial. A menudo no presentan sintomatología, generalmente es observado de manera casual en radiografías panorámicas que evalúan estadío de erupción. Radiográficamente se observa como una lesión radiolúcida unilocular de borde esclerótico con forma curvada o circular asociado a corona de un diente no erupcionado que expande corticales externas (3, 4, 6, 7, 15). Algunos QD se desarrollan de forma excéntrica desde lateral del folículo, ocupando un área al lado de la corona y no encima de ella (9, 11, 12).

 

El tratamiento del QD incluye varias opciones entre ellas eliminación de la lesión del diente afectado, la enucleación de la patología y remoción de diente afectado o marsupialización, siendo este último el de elección para prevenir su recurrencia (2, 12, 20, 21).

El presente artículo describe el manejo clínico, histopatológico y la planificación del tratamiento quirúrgico conservador de un gran quiste dentígero maxilar derecho asociado a un diente lateral permanente impactado, observado en un niño de ocho años que involucra pieza dentaria continua, y su respectivo tratamiento quirúrgico y seguimiento post operatorio.

 

REPORTE DE CASO

 

Paciente masculino de 8 años de edad, natural de Cusco, acude al servicio de Diagnóstico por Imágenes de la Universidad de San Antonio Abad del Cusco, en enero del 2016, por presentar aumento de volumen y dolor intenso en región de heminara derecha, con un año de evolución aproximadamente. Paciente refiere que comenzó con una lesión pequeña localizada en mucosa vestibular que fue aumentando progresivamente, no refiere antecedentes de trauma alguno.

 

EXAMEN CLÍNICO

 

Al examen clínico se observa asimetría facial por aumento de volumen de región nasogeniana derecha condicionando pérdida de surco nasogeniano, punta de nariz ligeramente desviada hacia el lado izquierdo. Al examen extra-oral se observa lesión indurada, rubicunda, dolorosa a la palpación de temperatura levemente aumentada, de aproximadamente 5x3x2 cm, ubicado en el lado derecho de cara extendiéndose inferiormente hacia labio superior derecho (Fig. 1). Al examen clínico intra-oral se observó lesión indurada con aumento de volumen de mucosa vestibular derecha, de aspecto tumoral, no circunscrita, de aproximadamente 8 x 4 cm, extendiéndose desde región de incisivo central derecho a primera molar derecha, de consistencia ligeramente depresible a la palpación y mucosa color azulada con vasos sanguíneos superficiales prominentes, ausencia de fondo de surco en el lado derecho proyectándose hacia línea media. En región palatina se presentó aumento de volumen y marcada expansión de cortical externa. Además de piezas dentarias en mal estado de conservación 54, 51, 64, 65 como remanentes radiculares y piezas 52, 62 con lesión cariosa mesial, se visualiza ausencia en oclusión de pieza 11 comparado a su homolateral y presencia de enfermedad periodontal en piezas antero-inferiores (Fig. 2).

 

 

 

 

 

EVALUACIÓN RADIOGRÁFICA

 

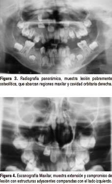
En la radiografía panorámica (Fig. 3) se observa amplia lesión con imagen pobremente radiolúcida unilocular con pequeñas radiopacidades en su interior proyectada en regiones que abarcan maxilar y cavidad orbitaria derecha aproximadamente 10 x 4 cm, con cortical parcialmente delimitada y bien definida, abarca en sentido transversal desde segmento radicular de pieza 21 hasta ápice de pieza 16, incluyendo ápices de piezas 51, 52, 53; y en sentido longitudinal desde cavidad orbitaria hasta 3mm superior al reborde alveolar. Se observa también dentro de la lesión imágenes radiopacas compatibles con piezas dentarias incluídas, correspondientes a piezas 13, 12, 11, las mismas que muestran desplazamientos en dirección cefálica. En la escanografía maxilar (Fig. 4) se puede observar la extensión y compromiso de la lesión con estructuras adyacentes comparadas con el lado izquierdo. La teleradiografía fue obtenida para observar la disposición y localización de las estructuras dentarias en relación a la lesión, mostrando más una vez desplazamiento de piezas dentarias comprometidas, pieza 13 con mínima cercanía a pared anterior de seno maxilar derecho (Fig. 5). En la radiografía oclusal se puede observar piezas 11 y 12 incluídas dentro de la lesión, flotando, condicionando desplazamiento de pieza 13 en dirección cefálica sin compromiso con seno maxilar derecho (Fig. 6).

 

DIAGNÓSTICO DIFERENCIAL Y EVALUACIÓN PREOPERATORIA

 

Siguiendo las referencias del examen clínico y radiológico, se llegó a diagnósticos presuntivos de quiste dentígero, tumor odontogénico adenomatoide, queratoquiste odontogénico, por lo que se decide realizar una biopsia excisional y de aspiración (Fig. 7), previamente se le fue solicitado exámenes pre-operatorios de laboratorio, encontrándose valores de normalidad, y posterior consentimiento informado del paciente.

 

TRATAMIENTO

 

Previamente a la realización de la biopsia excisional, se planificó la aspiración de la lesión, obteniéndose líquido transparente por lo que se procedió con la enucleación total de ésta. La muestra obtenida fue colocada en formol al 10% para ser enviada a estudio histopatológico.

 

El informe histopatológico confirmó como diagnóstico definitivo al Quiste Dentígero, revelando presencia de epitelio odontogénico y tejido conjuntivo fibroso no queratinizado con escasas células. La pared de la lesión quística estaba constituida de tejido conjuntivo fibroso y fibras colágenas entremezcladas por fibroblastos, evidenciando en su interior pequeños nidos de epitelio odontogénico.

 

Durante la excisión quística se realizó la exodoncia de piezas comprometidas 11 y 12, posteriormente el paciente recibió tratamiento completo en diferentes áreas de acuerdo a planeamiento y posterior seguimiento clínico y radiográfico al primer mes, observándose inicio de neoformación ósea en región de lesión, mejor estado de conservación de piezas dentarias, pieza 62 en proceso de exfoliación coronaria (fig. 8 y 9). No consiguiendo controles posteriores por viaje de paciente al interior de la región.

 

 

 

 

 

 

DISCUSIÓN

 

Según la organización mundial de la salud (OMS) los quistes pueden ser epiteliales y no epiteliales. Los quistes epiteliales pueden ser subdivididos en odontogénicos y no odontogénicos (23). El QD se ubica dentro de los quistes epiteliales odontogénicos con más del 24% de aparición, después de los quistes radiculares. En su mayor porcentaje los quistes foliculares pasan desapercibidos, solamente un hallazgo radiográfico suele evidenciar su presencia. Aproximadamente el 4% de los individuos con un diente sin erupcionar presentan quiste dentígero. Su frecuencia de aparición se ubican en las segunda y tercera décadas con mayor prevalencia en varones en una proporción de 2:1 (1, 3, 4, 19). Sin embargo, la frecuencia en niños es relativamente baja, con frecuencias que ocurren del 4 a 9% en los primeros 10 años después del nacimiento (21). La literatura muestra tasas bajas de incidencia de quistes dentígeros asociados a incisivos superiores, del 1,5%, en comparación con el 45,7% del tercer molar mandibular. (24); nuestro caso reporta una afección inusual en piezas retenidas 11 y 12 adyacentes y múltiples en un niño de 8 años de edad.

 

El origen e histogénesis del QD, aún es desconocida (2, 10, 17, 21, 27), dos tipos de teorías son reportados en la literatura La teoría del desarrollo es la más común y refiere que los QD se desarrollan alrededor de la corona de un diente no erupcionado por acumulación de líquido entre el epitelio del esmalte reducido y el esmalte o entre las capas del órgano del esmalte. Esta acumulación de fluido se produce como resultado de la presión ejercida por un diente en erupción en un folículo afectado que obstruye el flujo venoso e induce la entrada de suero a través de la pared capilar (25). Toller (26) refiere que el probable origen del QD es la ruptura de células proliferantes del folículo después de la erupción impedida. Estos productos de descomposición resultan en una tensión osmótica incrementada y por lo tanto en la formación de quistes. Estos quistes son diagnosticados en la segunda y tercera década de vida y con frecuencia asociado a terceras molares mandibulares (27).

 

La segunda teoría es el inflamatorio, que aduce que el QD se forma en los dientes inmaduros como resultado de la inflamación de un diente deciduo no vital. Bloch (26) refiere que el origen del QD se produce por un deciduo necrótico superpuesto. La inflamación periapical resultante se diseminará para involucrar al folículo del sucesor permanente no erupcionado, produciendo exudado inflamatorio y consiguiente formación de lesión. Estos quiste se diagnostican en la primera y temprana parte de la segunda década de vida, sea por examen radiográfico de rutina o cuando el paciente se queja de hinchazón o dolor (27). Creemos que nuestro caso podría clasificarse como el segundo tipo de QD por las definiciones reportadas y por presencia de deciduos 51 y 52 en mal estado de conservación.

Lesiones como el queratoquiste odontogénico, tumor odontogénico adenomatoide, ameloblastoma unicístico, granuloma central de células gigantes y hasta un quiste radicular grande, deben considerarse como diagnóstico diferencial de un QD. El examen radiográfico por sí solo no puede diferenciar una imagen radiolúcida asociada con la raíz de un diente deciduo no vital o la corona de un diente no erupcionado, por lo que el diagnóstico definitivo es el examen histopatológico. Además, las células epiteliales que recubren el lumen del QD poseen una capacidad inusual para someterse a una transición metaplásica, por lo que los QD no tratados rara vez se convierten en un tumor odontogénico o malignizarse para un carcinoma de células escamosas (10, 17, 22). Por lo tanto, el diagnóstico oportuno y el tratamiento de una lesión de QD crean una importancia para la prevención de la ocurrencia de una lesión más destructiva. La marsupialización y la enucleación completa de la lesión puede ser el tratamiento de elección. En el presente caso se realizó la enucleación quirúrgica con extracción de las piezas comprometidas.

La interconsulta debe destacar entre las diferentes especialidades y la odontología, cuando se evalúa a niños en período de recambio dentario, que es la etapa más frecuente de presentación de lesiones patológicas. Asimismo, se debe controlar el estado bucal, ya que las lesiones cariosas no tratadas pueden inducir a inflamación y generar quistes de tipo radicular y dentígero.

CONCLUSIÓN

 

El caso presentado de un niño de 7 años apoya la mayoría de las manifestaciones publicadas en la literatura. Un QD asociado a piezas antero-superiores dará lugar a la falta de erupción del diente y por tanto conduce a problemas estéticos. Por otro lado la ausencia de incisivos central y lateral producirá un impacto en la psicología del niño, de ahí que se pretende resaltar la importancia de una historia clínica completa que conlleve a un diagnóstico oportuno para su derivación al odontólogo especialista y si fuese necesario interconsulta con otras especialidades médicas para su tratamiento adecuado. Si bien la mayoría de las lesiones suelen tener presentación benigna, pueden generar grandes asimetrías y deformidades faciales a largo plazo.

 

REFERENCIAS

  1. Tami-Maury I., López T., Moustarih Y., Moretta N. Quiste dentígero. Revisión bibliográfica y presentación de un caso. Acta Odontológica Venezolana. 2000; 38(2):61-67.
  2. Spini R. G., Bordino L., Cruz D., Fitz-Maurice Mde L., Martins A. Dentigerous cyst: a case report. Arch Argent Pediatr. 2016; 114 (5): 338-342.
  3. Bonardi J. P., Gomes-Ferreira P. H., de Freitas Silva L, Momesso GA, de Oliveira D., Ferreira S, Pereira RD, Souza FÁ. Large dentigerous cyst Associated to Maxillary Canine. J Craniofac Surg. 2017; 28(1):96-97.
  4. Ruby J. L., Scrivani P. V, Thompson M. S. What is your diagnosis? Dentigerous cyst. J Am Vet Med Assoc. 2015; 247(10):1097-1099.
  5. Bhardwaj B., Sharma S., Chitlangia P., Agarwal P., Bhamboo A., Rastogi K. Mandibular Dentigerous Cyst in a 10-Year-Old Child. Int J Clin Pediatr Dent. 2016; 9 (3): 281-284.
  6. An S., Manjunatha B. S., Astekar M. Dentigerous cyst associated with ectopically impacted maxillary second premolar. J Exp Ther Oncol. 2016; 11 (4): 309-313.
  7. De Carvalho I. K., Luna A. H. Spontaneous eruption of premolar associated with a dentigerous cyst. Case Rep Dent. 2016; 2016: 5323978.
  8. Jena A. K. Management of Multiple Impacted Teeth Associated with a Large Dentigerous Cyst in the Maxilla. J Dent Child (Chic). 2015; 82 (3): 157-162.
  9. Muñiz-Lino M. A, Rodríguez-Vázquez M., Chávez-Munguía B., Ortiz-García J. Z., González L., Hernández F. C. Establishment and characterization of a cell population derived from a dentigerous cyst. J Oral Pathol Med. 2016. [Epub ahead of print]
  10. Kalaskar R. R., Tiku A., Damle S. G. Dentigerous cysts of anterior maxilla in a young child: A case report. J Indian Soc Pedod Prev Dent. 2007; 25: 18-90.
  11. Tilakraj T. N., Kiran N. K., Mukunda K. S., Rao S. Non syndromic unilateral dentigerous cyst in a 4-year-old child: A rare case report. Contemp Clin Dent. 2011; 2 (1): 398-401.
  12. Demirkol M., Ege B., Yanik S., Aras M. H., Ay S. Clinicopathological study of jaw cysts in southeast region of Turkey. Eur J Dent. 2014; 8:107-111.
  13. Dagrus K., Purohit S., Manjunatha B. Dentigerous cyst arising from a complex odontoma: an unusual presentation. BMJ Case Rep. 2016; 18 (1):1-2.
  14. Qian J., Guang-Zhou X., Chi Y., Chuang-Qi Y., Dong-Mei H., Zhi-Yuan Z. Dentigerous cysts associated with impacted supernumerary teeth in the anterior maxilla. Exp Ther Med. 2011; 2 (5): 805-809.
  15. Khambete N., Kumar R., Risbud M., Kale L., Sodhi S. Dentigerous cyst associated with an impacted mesiodens: report of 2 cases. Imaging Sci Dent. 2012; 42 (4): 255-260.
  16. Passi S., Gauba K., Agnihotri A., Sharma R. Dentigerous cyst in primary dentition: A case report. J Indian Soc Pedod Prev Dent. 2008; 26: 168-170.
  17. Demiriz L., Misir A. F., Gorur D. I. Dentigerous cyst in a young child. Eur J Dent. 2015; 9 (4): 599-602.
  18. Tachibana T., Shimizu M., Shioda S. Clinical observation of the cysts of the jaws in childhood. J Oral Maxillofac Surg. 1980; 26 (1): 337-341.
  19. Suresh R., Janardhanan M., Joseph A. P., Vinodkumar R. B., Peter S. A rare case of dentigerous cyst in a one year old child: The earliest known reported occurrence. Head Neck Pathol. 2011; 5 (3):171-174.
  20. Jeon J. Y., Park C. J., Cho S. H., Hwang K. G. Bilateral dentigerous cysts that involve all four dental quadrants: a case report and literature review. J Korean Assoc Oral Maxillofac Surg. 2016; 42 (2): 123-136.
  21. Deboni M. C., Brozoski M. A., Traina A. A., Acay R. R., Naclério-Homem Mda G. Surgical management of dentigerous cyst and keratocystic odontogenic tumor in children: A conservative approach and 7-year follow-up. J Appl Oral Sci. 2012; 20 (2): 282-285.
  22. Kirtaniya B. C., Sachdev V., Singla A., Sharma A. K. Marsupialization: A conservative approach for treating dentigerous cyst in children in the mixed dentition. J Indian Soc Pedod Prev Dent. 2010; 28 (3): 203-208.
  23. De Vicente J. C., López-Arranz J. Quistes de los maxilares. In Suárez Nieto C. Tratado de Otorrinolaringología y cirugía de cabeza y cuello. 2.ª ed. Buenos Aires: Panamericana; 2008.
  24. Wali G. G., Sridhar V., Shyla H. N. A Study on dentigerous cystic changes with Radiographically Normal Impacted Mandibular Third Molars. J Maxillofac Oral Surg. 2012; 11 (4): 458-465.
  25. Main D. M. The enlargement of epithelial jaw cyst. Odontol Revy 1970; 21 (1): 21-29.
  26. Toller P. A. The osmolarity of fluid from the cyst of jaw. Br Dent J 1970; 129 (6): 275-278.
  27. Pramod D. S., Shukla J. N. Dentigerous cyst of maxilla in a young child. Natl J Maxillofac Surg. 2011; 2 (2): 196-199.