Carcinoma de células escamosas basaloide en paladar: Reporte de caso

 

Basaloid Squamous Cell Carcinoma of the Palate: Case Report

 

Yadira V. Boza Oreamuno DDS, MSc¹

 

1. Especialista y Máster en Patología y Medicina Oral. Profesora adjunta de la Facultad de Odontología, Universidad de Costa Rica, Costa Rica.

 

Autor para correspondencia: Dra. Yadira V. Boza Oreamuno - yadira.boza@ucr.ac.cr

Recibido: 16-V-2017 Aceptado: 28-VI-2017 Publicado Online First: 30-VI-2017

DOI: http://dx.doi.org/10.15517/ijds.v0i0.29667

 

RESUMEN

 

El carcinoma de células escamosas basaloide (CCEB) es una variante poco común y agresiva del carcinoma de células escamosas (CCE), con predilección por el tracto aerodigestivo superior, siendo el paladar un sitio muy raro de desarrollo. Está constituido por un componentes basaloide y uno escamoso en proporciones variables, sin embargo, las características histopatológicas del CCEB se superponen con otras neoplasias. El diagnóstico con diversos marcadores inmunohistoquímicos como p63, Ki67, p16, y citoqueratinas AE1 / AE3 se han convertido en una necesidad para el especialista. El objetivo de este trabajo es presentar un caso de CCEB en paladar blando y evidenciar la importancia del apoyo en la inmunohistoquímica para un diagnóstico histopatológico precoz. Se presenta además una revisión de literatura en cuanto a esta patología.

 

PALABRAS CLAVE

 

Carcinoma de células escamosas basaloide; Cavidad oral; Carcinoma de células escamosas; Inmunohistoquímica.

 

ABSTRACT

 

Basaloid Squamous Cell Carcinoma (BSCC) is a rare and aggressive variant of squamous cell carcinoma (SCC), with a predilection for the upper aerodigestive tract, the palate being a very rare site of development. It is constituted by a basaloid and a squamous components in variable proportions, however, the histopathological characteristics of the BSCC overlap with other neoplasias. Diagnosis with various immunohistochemical markers such as p63, Ki67, p16, and AE1 / AE3 cytokeratins have become a necessity for the specialist. The objective of this study is to present a case of BSCC in soft palate and to show the importance of the support in the immunohistochemistry for an early histopathological diagnosis. A review of the literature on this pathology is also presented.

 

KEYWORDS

 

Basaloid squamous cell carcinoma; Oral cavity; Squamous cell carcinoma; Immunohistochemistry.

 

INTRODUCCIÓN

 

El carcinoma de células escamosas basaloide (CCEB) fue descrito por primera vez en cabeza y cuello en 1986 por Wain SL y cols., (1). En el 2005, la Organización Mundial de la Salud lo definió como una variante de alto grado y agresividad del carcinoma de células escamosas (CCE), constituido por un componente basaloide y uno escamoso en proporciones variables (2).

 

El CCEB representa el 2% de los cánceres de cabeza y cuello, con una tendencia a ser multifocal, profundamente invasivo y metastásico incluso en la presentación inicial (3). El tracto aerodigestivo superior es el sitio de origen más común de este tumor en la cabeza y el cuello (4), especialmente la epiglotis, la hipofaringe (seno piriforme) y la base de la lengua (5,6).

 

Clínicamente, los síntomas de CCEB se parecen a los de CCE convencional y estos varían según el lugar de origen; se presenta como masas firmes con ulceración central e induración submucosa extensa (7,8). El tumor tiene un ligero predominio masculino (3). Al igual que con el CCE convencional el tabaco y el abuso de alcohol son fuertes factores de riesgo (8). El virus del papiloma humano (VPH) tipos 16 y 18 se cree que causan CCE y se han detectado en algunos CCEB, especialmente los del glande del pene y el ano, pero el papel exacto de VPH y sus subtipos en CCEB sigue siendo controvertido (1,8).

 

Histológicamente el CCEB se caracteriza por la presencia del componente basaloide en grado variable y áreas en íntima conexión de diferenciación escamosa y displasia epitelial variable (2), el tumor infiltrante muestra variedad de patrones de crecimiento (9). La inmunohistoquímica (IHQ) y la microscopía electrónica son ayudas para el diagnóstico diferencial histológico (10-12), marcadores inmunohistoquímicos como p63, Ki67, p16, y citoqueratinas AE1 / AE3 son valiosos para reflejar el comportamiento biológico de la CCEB y ayuda a distinguir de CCE convencional y otros tumores malignos (13-16); como el carcinoma adenoide quístico (CAQ), carcinoma neuroendocrino (CNE) de células pequeñas y grandes, carcinoma escamoso no queratinizado (CENQ) y adenocarcinomas (10-12).

 

No hay un consenso establecido para el tratamiento. La cirugía del tumor y de los ganglios linfáticos asociados con la radioterapia se observa generalmente en la mayor parte de la literatura (7,8,17), la quimioterapia es recomendada por ciertos autores (17,18) debido a la alta incidencia de metástasis a distancia y el pronóstico relativamente pobre (7,19,20).

 

El objetivo de este trabajo es presentar un caso de CCEB en paladar y evidenciar la importancia del apoyo en la IHQ para un diagnóstico histopatológico precoz, ya que de un tratamiento oportuno depende la supervivencia de los pacientes.

 

REPORTE DE CASO

 

Masculino de 71 de años, estadounidense, casado. La historia médica reporta cirugía de hernia discal lumbar y de ambas rodillas por meniscos, no presenta contraindicaciones sistémicas, ni toma medicamentos actualmente. Refiere no tomar bebidas alcohólicas, fumador de 2 paquetes de cigarrillos diarios por 30 años, lo dejó hace 3 meses.

 

Al realizar el examen clínico se observó paciente edéntulo total superior y parcial inferior, sólo utiliza prótesis total superior acrílica en buen estado; al lado derecho del paladar blando presentaba lesión tumoral de 2.5 cm de diámetro, sésil, indurada, eritematosa, con ulceración central, asintomática y refiere evolución de 2 meses (Figura 1A). No se palparon adenopatías, ni se observaron alteraciones de contorno facial ni en piel.

 

Bajo el diagnóstico clínico de CCE se procedió a realizar biopsia incisional, anestesia 2% con vasoconstrictor 1:100000, se realizó incisión oval en el borde derecho de la lesión, se profundizó 5 mm, se envió el espécimen para estudio histopatológico en formalina al 10%, se realizó hemostasia y se suturó con seda 3/0 (Figura 1B). Se dieron recomendaciones al paciente para efectuar una adecuada higiene oral que incluía enjuagues con clorhexidina al 0,12 % cada 12 horas, además de ibuprofeno en tabletas de 400 mg cada 6 horas por tres días y amoxicilina 500 mg cada 8 horas por 7 días.

 

 

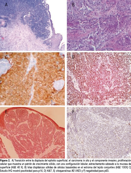
En el análisis histopatológico se identificó mucosa revestida por epitelio escamoso con una lesión tumoral ulcerada constituída por proliferación celular de aspecto basaloide, dispuesta en una configuración lobular, estrechamente adosada a la mucosa superficial (Figura 2A) centro necrótico, comedonecrosis. La mayoría de las células tumorales contienen una pequeña cantidad de citoplasma eosinofílico, las figuras mitóticas son abundantes (Figura 2B). Dichas células presentaban un perfil inmunohistoquímico (IHQ) positivo para: p16, Ki67, citoqueratina AE1/AE3 y negativo para p63 (Figura 2C, D, E, F). El diagnóstico final fue carcinoma basaloide de células escamosas con alto índice proliferativo.

 

Se entregó referencia para Oncología. El ultrasonido de cuello, la tomografía axial computarizada (TAC) y otros estudios de extensión no revelaron lesiones focales ni adenopatías sugestivas de metástasis. Le dieron 33 sesiones de radioterapia durante días continuos y 3 sesiones de quimioterapia (una al inicio, medio y final); el postoperatorio cursó sin complicaciones y la lesión tumoral desapareció en su totalidad (Figura 3A y B).

 

 

 

A los 5 meses de finalizada la quimio y radioterapia presentó secuestro óseo de 1 x 0.5 cm en zona posterior mandibular derecha por lingual del reborde alveolar edéntulo, asociado a la radioterapia y a prótesis parcial inferior acrílica desajustada, la cual el paciente se realizó por su cuenta un mes antes en un viaje a su país natal (Figura 3C). Último TAC sin patología mandibular evidente. Se recomendó biopsia excisional (Figura 3D), previo tomó 3 g de amoxicilina 1 hora antes del procedimiento, con anestesia al 3% infiltrativa se realizó remoción total del tejido óseo expuesto, se suturó con 6 puntos de seda 5/0. Se envió enjuagues con clorhexidina al 0,12 % cada 12 horas y amoxicilina 500 mg 1 cada 6 horas por 7 días. El espécimen quirúrgico llevado a patología confirmó el diagnóstico inicial de osteoradionecrosis.

 

El postoperatorio cursó sin complicaciones, el paciente comprendió que no debía utilizar la prótesis inferior (Figura 4A). Se le han realizado controles estrictos cada 3 meses durante más de un año y no han aparecido lesiones nuevas en ninguna parte de la cavidad oral (Figura 4B).

 

DISCUSIÓN

 

 

El CCEB del tracto aerodigestivo superior es un tumor agresivo de alto grado con una mayor tendencia a ser profundamente invasivo, multifocal y metastásico, incluso en la presentación inicial (2). Hasta el 2005 la verdadera tasa de incidencia de CCEB en cabeza y cuello fue incierta debido a la falta de criterios definitivos para diagnosticar estos casos (21,22).

 

Como su nombre lo indica el CCEB microscópicamente se compone de dos componentes principales basaloide y escamoso. Las células basaloides se disponen en lóbulos, láminas, cuerdas o islas y disposición periférica con la parte central de las islas compuestas de células escamosas, con mitosis anormal frecuente que sugiere un comportamiento agresivo, las células basaloides tienen citoplasma escaso, núcleos hipercromáticos o vesiculares prominentes ovalados con o sin nucleolos (1,8,13,21,23). Aparte de las características antes mencionadas, la metástasis a linfadenopatía regional es una de las características comunes del CCEB. Pocos casos han sido reportados con invasión perineural y perivascular (8,24).

 

Para hacer el diagnóstico definitivo de CCEB, al menos el 10% del elemento definible de carcinoma de células escamosas junto con el componente basaloide predominante debe estar presente, ya que las características histopatológicas del CCEB se superponen con muchas otras neoplasias compartiendo apariencia microscópica similar (25). Debido a lo anterior, complementar el diagnóstico con diversos marcadores de IHQ se ha convertido en una necesidad para el especialista (26).

 

El CCEB tiene un perfil inmunohistoquímico caracterizado por reactividad p16 fuerte y difusa, tinción baja o difusa de p63 (27), reacción intensa de citoqueratinas AE1 / AE3 en el epitelio y en los nidos basaloides y las puntuaciones de marcaje Ki67 son altas (28). Se puede diferenciar del CAQ porque este último presenta núcleos densos angulados, no tiene estroma hialino ni diferenciación escamosa y la expresión de p63 muestra patrón periférico (27). El CNE de células pequeñas mostrará una tinción tipo punto con citoqueratinas AE1 / AE3 y el de células grandes mostrará una tinción citoplasmática más extensa, serán positivos para los marcadores neuroendocrinos, mientras que el CCEB será negativo (27, 29). El CCEB es difusamente positivo para p63 mientras que CNE generalmente muestra difusa pero débil tinción (27). El CENQ virtualmente el 100% son p16 (+) y la mayoría son HPV(+) (30).

 

El caso aquí presentado fue el de un CCEB en paladar blando con alto índice proliferativo y comportamiento biológico no agresivo, en un hombre de 71 años con antecedente de ser fumador pesado por muchos años. Las características clínicas son concordantes con la literatura al ser un tumor con ligero predominio masculino (3) y con el tabaco como factor de riesgo (8), sin embargo, el paladar es una zona poco común de presentación (7). Las características histopatológicas están en contraste con el componente de células escamosas y la proliferación celular de aspecto basaloide, dispuesta en una configuración lobular, las altas figuras mitóticas, áreas de comedonecrosis y marcaje severo en intensidad y cantidad de Ki67. El uso de IHQ descartó otras malignidades. Además, con base a la elevada correlación existente entre la detección de VPH y la expresión de p16, la sobreexpresión de p16 ha pasado a ser considerada como un marcador de infección VPH, los CCEB /VPH 16 + están asociados con un mejor pronóstico (31).

 

Aunque en el presente caso no había metástasis, se han documentado casos asociados con la alta tasa local y distante de metástasis (3), como adenocarcinomas de colon o próstata y leucemia linfocítica crónica (4). La cirugía y la radioterapia permiten un buen control local, pero la alta incidencia de metástasis sugiere que una terapia coadyuvante con quimioterapia puede jugar un papel importante (7,22), como en el caso reportado, donde el paciente se ha mantenido libre de lesiones tumorales posterior al tratamiento con quimio y radioterapia.

 

Existe controversia considerable con respecto al análisis comparativo del curso clínico y el pronóstico de CCEB y CCE convencional. Oikawa y cols. (19) han reportado metástasis regionales y distantes en el 64% y el 44% respectivamente. Winzenburg y cols. (32), reportaron metástasis regionales en el 75% y distantes entre 35-50%. Soriano y cols. (3) mostraron que los pacientes con CCE se asociaron con tasas de supervivencia notablemente más altas en comparación con los pacientes con CCEB. Además, la tasa de metástasis a distancia fue seis veces mayor en los casos de CCEB. Sin embargo, de Sampaio Góes y cols. (13) reportaron que el pronóstico no difirió entre los pacientes con CCEB de la cavidad oral y aquellos con CCE convencional. Por lo tanto, una lesión rara como el CCEB debe ser reportada para la mejor comprensión de la naturaleza de tales tumores (33). Se debe estudiar cada caso en particular en vistas al mejor beneficio terapéutico.

 

CONCLUSIONES

 

El diagnóstico y manejo del CCEB debe hacerse con precaución, ya que es una forma histopatológicamente distinta del CCE con comportamiento biológico casi siempre agresivo y con mal pronóstico. En el caso presentado se mostró un diagnóstico histológico con apoyo en IHQ para un diagnóstico preciso. Se necesitan más estudios con informes uniformes para optimizar el establecimiento de un diagnóstico y definir las estrategias óptimas de tratamiento.

 

CONFLICTO DE INTERés

 

El paciente dio por escrito su consentimiento libre e informado para la publicación de su caso.

 

REFERENCIAS

  1. Wain S. L., Kier R., Wollmer R. T., et al. Basaloid-squamous carcinoma of the tongue, hypopharynx, and larynx: report of 10 cases. Hum Pathol. 1986;17:1158–66.
  2. Cardesa A., Zidar N., Ere˜no C. Basaloid squamous cell carcinoma. En: Barnes L., Eveson J. W., Reichart P., Sidrasky D., editores. Pathology and genetics of head and neck tumours. Kleihues P., Sobón L. H., series editors. World Health Organization classification of tumours. IARC Press: Lyon, France; 2005.
  3. Soriano E., Faure C., Lantuejoul S., Reyt E., Bolla M., Brambilla E., Righini C. A. Course and prognosis of basaloid squamous cell carcinoma of the head and neck: A case-control study of 62 patients. EJC. 2008: 244-50.
  4. Banks E. R., Frierson H. F., Jr, Mills S. E., et al. Basaloid squamous cell carcinoma of the head and neck. A clinicopathologic and immunohistochemical study of 40 cases. Am J Surg Pathol. 1992; 16: 939-46.
  5. Luna M. A., El Naggar A., Parichatikanond P., et al. Basaloid squamous carcinoma of the upper aeorodigestive tract. Clinicopathologic and DNA flow cytometric analysis. Cancer. 1990; 66: 537-42.
  6. Paulino A. F. G., Singh B., Shah J. P., et al. Basaloid squamous cell carcinoma of the head and neck. Laryngoscope. 2000;110:1479-82.
  7. Yamagata K., Karube R., Yanagawa T., Zemann W., Metzler P., Onizawa K., et al. Basaloid squamous cell carcinoma of the oral cavity: A case series. IJCAI. 2013; 4 (4): 199-207.
  8. Ereño C., Gaafar A., Garmendia M., Etxezarraga C., Bilbao F. J., López J. I. Basaloid Squamous Cell Carcinoma of the Head and Neck: A Clinicopathological and Follow-Up Study of 40 Cases and Review of the Literature. Head and Neck Pathology. 2008; 2 (2): 83-91.
  9. Hellquist E. B., Dahl F., Karlsson M. G., Nilsson C. Basaloid squamous cell carcinoma of the palate. Histopathology. 1994; 25 (2): 178.
  10. Joshi D., Shivkumar V. B., Sharma S. M., Gangane N. Cytomorphologic diagnosis of Basaloid squamous cell carcinomna: A rare case report. Acta Cytol. 2009; 53: 89-92.
  11. Jain M., Madan N. K., Agarwal S., Singh S. Pigmented basal cell carcinoma: Cytological diagnosis and differential diagnoses. J Cytol. 2012; 29: 273-75.
  12. Marks R. A., Cramer H. M., Wu H. H. Fine-needle aspiration cytology of basaloid squamous cell carcinoma and small cell carcinoma: A comparison study. Diagn Cytopathol. 2013; 41: 81-84.
  13. de Sampaio Goes F. C., Oliveira D. T., Dorta R. G., Nishimoto I. N., Landman G., Kowalski L. P. Prognoses of oral basaloid squamous cell carcinoma and squamous cell carcinoma: a comparison. Arch Otolaryngol Head Neck Surg. 2004; 130 (1): 83-86.
  14. Lantuejoul S., Faure C., Righini C., Soriano E., Claraz C., Reyt E. Basaloid squamous cell carcinoma of the head and neck: histological and immunohistochimical analysis of 47 cases. Mod pathol. 2004;15 (Suppl 1): 227A.
  15. Emanuel P., Wang B., Wu M., et al. p63 immunohistochemistry in the distinction of adenoid cystic carcinoma from basaloid squamous cell carcinoma. Mod Pathol. 2005; 18: 645-50.
  16. Heera R., Ayswarya T., Padmakumar S. K., Ismayil P. Basaloid squamous cell carcinoma of oral cavity: Report of two cases. J Oral Maxillofac Pathol. 2016; 20 (3): 545.
  17. Thariat J., Ahamad A., El-Naggar A. K., Williams M. D., Holsinger F. C., Glisson B. S., Allen P. K., Morrison W. H., Weber R. S., Ang K. K., Garden A. S. Outcomes after radiotherapy for basaloid squamous cell carcinoma of the head and neck: a case-control study. Cancer. 2008; 112 (12): 2698-709.
  18. Raslan W. F., Barnes L., Krause J. R., et al: Basaloid squamous cell carcinoma of the head and neck: a clinicopathologic and flow cytometric study of 10 new cases with review of the English literature. Am J Otolaryngol 1994; 15: 204 211.
  19. Oikawa K., Tabuchi K., Nomura M. Basaloid squamous cell carcinoma of the maxillary sinus: a report of two cases of the head and neck. AurisNasus Larynx 2007; 34:119-23.
  20. Quijano Moreno S. L., Medina Pérez M. Carcinoma epidermoide basaloide de amígdala en adulto medio. Revista Española de Patología 2016; 49 (1): 50-54.
  21. Barnes L. Basaloid squamous cell carcinoma. In: Barnes L, editor. Surgical pathology of the head and neck. 2. New York: Marcel Dekker; 2001. pp. 184-89.
  22. Barnes L., Eveson J. W., Reichart P., Sidransky D. Pathology and genetics, head and neck tumours. World Health Organization classification of tumours. Lyon, France: IARC Press; 2005.
  23. Sundharam B. S., Krishnan P. A. Basaloid squamous cell carcinoma report of a case and review of literature. Indian J Dent Res. 2003;14:184-86.
  24. Choussy O., Bertrand M., François A., Blot E., Hamidou H., Dehesdin D. Basaloid squamous cell carcinoma of the head and neck: report of 18 cases. The Journal of Laryngology & Otology. 2011;125 (06): 608-13.
  25. Kumari K., Haragannavar V. C., Kumar K. V., Prasad K., Nambiar S. Basaloid Squamous Cell Carcinoma of Tongue: A Report with Emphasis on Immunohistochemistry. J Clin Diagn Res. 2017 Mar;11(3): ZD16-ZD18.
  26. Cuevas-González M. V., Vega-Memije M. E., Cuevas-González J. C., García-Vázquez F. J. y col. Expresión de CD34, Ki-67, p53 y citoqueratina AE1/AE3 en el carcinoma basocelular sólido y adenoideo. Dermatol Rev Mex. 2016; 60 (4): 311-318.
  27. Serrano M. F., El-Mofty S. K., Gnepp D. R., Lewis J. S., Jr Utility of high molecular weight cytokeratins, but not p63, in the differential diagnosis of neuroendocrine and basaloid carcinomas of the head and neck. Hum Pathol. 2008; 39 (4): 591-8.
  28. Rodriguez Tojo M. J., Garcia Cano F. J., Infante Sanchez J. C., et al. Immunoexpression of p53, Ki-67 and E-Cadherin in basaloid squamous cell carcinoma of the larynx. Clin Transl Oncol. 2005; 7:100-4.
  29. Morice W. G., Ferreiro J. A. Distinction of basaloid squamous cell carcinoma from adenoid cystic and small cell undifferentiated carcinoma by immunohistochemistry. Hum Pathol. 1998; 29 (6): 609-612.
  30. Lewis J. S. Not Your Usual Cancer Case: Variants of Laryngeal Squamous Cell Carcinoma. Head and Neck Pathology. 2011; 5 (1): 23-30.
  31. Begum S., Westra W. H. Basaloid squamous cell carcinoma of the head and neck is a mixed variant that can be further resolved by HPV status. Am J Surg Pathol. 2008; 32: 1044-50.
  32. Winzenburg S. N., Niehans G. A., George E. et al. Basaloid squamous cell carcinoma: a clinical comparison of two histological types with poorly differentiated squamous cell carcinoma. Otolaryngol Head Neck Surg 1998; 119: 471-5.
  33. Shivakumar B., Dash B., Sahu A., Nayak B. Basaloid squamous cell carcimoma: A rare case report with review of literature. J Oral Maxillofac Pathol. 2014; 18 (2): 291-294.